Free Gingival Graft Ppt

Free Gingival Graft Ppt. The mucosal flap reflected on the recipient site, can be sutured apical to the graft, or removed. Preparation of recipient area … class iii gingival recession.

Photo Gallery Chow Periodontics
Photo Gallery Chow Periodontics from

This module will explain how this works. A free gingival graft (fgg) is a periodontal surgical procedure utilized to create vestibular depth and widen the zone of the keratinized tissue, and was one of the first procedures used to treat. The gingival zenith is the most apical aspect of free gingival margin.

Prior To The Graft Being Placed, Alternative Options, Including No Treatment, Would Have Been Presented To The Patient.


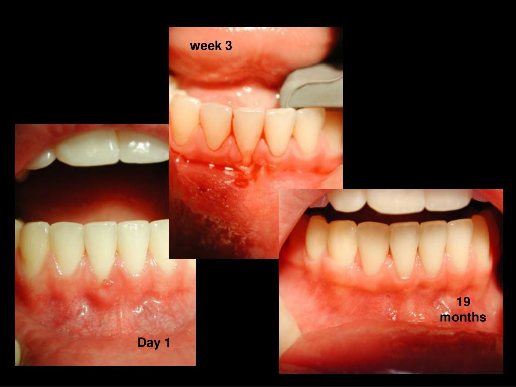
The patient pictured above has severe gingival recession over the prominent root of a mandibular right canine. With the current emphasis on cosmetic concerns and esthetics in dentistry, lasers are increasingly being used to accomplish esthetic treatment goals. 13,15,16 in the present case, epithelial disintegration and desquamation were clinically evident from day 1 through day 8.

Free Gingival Grafts Have Been Used In Periodontal Procedures To Augment Attached Gingiva And Cover Denuded Root Surfaces.


In this case, because the patient now has good oral hygiene in the affected region, the recession is unlikely to proceed significantly and could be monitored, so graft placement is a viable. The recipient area was prepared with a split thickness flap which was fixed apical with periosteal sutures. Free gingival harvest free gingival graft.

Preparation Of Recipient Area … Class Iii Gingival Recession.


Taking her own tissue from the roof of her mouth to sites #22 and 27 (bottom front). This is a versatile procedure and can also be used over an extraction socket or osseous graft 32, 33. Esthetic free gingival graft pamela nicoara dds esthetic free gingival graft no vertical release, no scars graft survives from blood supply from periosteum, bone and overlying flap would suture w/ 6.0 gut esthetic, predictable, and stable over time 56y/o male w/ hiv for 20 years enamel flaking (impossible to get graft onto enamel), needs new restoration … didn’t think about root coverage.

The Mucosal Flap Reflected On The Recipient Site, Can Be Sutured Apical To The Graft, Or Removed.


The free gingival graft is a simple, predictable technique for increasing the zone of attached gingiva. Later on, the procedure was used to attempt coverage of exposed root surfaces. With the current emphasis on cosmetic concerns and esthetics in dentistry, lasers are increasingly being used to accomplish esthetic treatment goals.

In Keeping With The Concept Of Rapid Epithelialization Of Close Wound Edges, The Strip Technique Was Developed To Maximize The Area Of Gingival Grafting With Less Trauma To The Donor Site Or The Recipient Site.


The gingival zenith is the most apical aspect of free gingival margin. Class iii gingival recession irt 31 fig. An excessive display of gingiva resulting from a high lip line and abnormal gingival overgrowth often complicates treatment.

Post a Comment

0 Comments